
Over mij
zondag 30 mei 2021
Hallo iedereen, ik stel me even voor. Ik ben Anneke, 66 jaar. Ik ben mijn hele leven een actieve persoon geweest.
Ik heb als opvoedster met zowel lichamelijke als geestelijke kinderen en volwassenen met een beperking gewerkt.
Ik stond ook in het onderwijs waar ik les gaf aan anderstaligen.
In september 2016 besloot ik mijn trap te schilderen en ongeduldig dat ik was, deed ik alle treden van boven naar beneden.
"Maar mama toch" zei mijn zoon, "hoe geraak je vanavond naar boven om te slapen"? Ik zei al lachend, "dat heb ik op voorhand al uitgedokterd, ik ga gewoon langs de spijlen van de trap naar boven". En zo geschiedde.
De volgende ochtend plaatste ik mijn L-voet op de eerste trede en toen hoorde en voelde ik een krak. Daar stond ik nu met mijn grote mond. Met veel moeite en pijn (op de trap die blijkbaar nog niet helemaal droog was) ben ik toch beneden geraakt. Ik heb de trap ondertussen nog niet herschilderd dus mijn voetafdrukken staan er nog steeds in. π€£
Een gescheurde meniscus met operatie als gevolg. Een jaar later bleef ik echter pijn houden en had moeite met stappen.
Om nu een lang verhaal kort te maken: tussen oktober 2017 en april 2021 heb ik nog 6 bijkomende operaties gehad waarvan 4 knieprothesen.
De eerste 5 operaties werden gedaan door een goede orthopedische chirurg Dr. R.T die ondertussen met pensioen is. Hij vond het heel erg dat hij gefaald had maar aangezien het aan mijn gestel ligt treft hem zeker geen blaam.
Ondertussen ben ik doorverwezen naar een orthopedisch chirurg Dr. T.C. in Herentals. Als het hem niet lukt, lukt het niemand zei mijn kinesist.
Het heeft een tijdje geduurd vooraleer ze begrepen wat er aan de hand was.
Als kind was ik heel lenig en kon ik zonder probleem mijn 2 benen in mijn nek leggen. In 2016 voor mijn operatie kon ik dat ook nog met mijn L-been. Ook de spagaat was en is voor mij poepsimpel. Bleek nu dat door mijn hypermobiliteit de spieren en ligamenten steeds langer werden en zo mijn knie niet wilde vasthouden. Dus elke knieprothese is een maat voor niks geweest. Het lag dus niet aan de artsen maar aan mijn gestel.
Daar er artrose en osteoporose werd vastgesteld zouden al deze operaties tot een spontane amputatie kunnen leiden.
Na anderhalf jaar nadenken ben ik nu tot het besluit gekomen om dan maar voor een amputatie te gaan.
Ik ben al al die jaren immobiel, maak gebruik van een brace, krukken en een rolwagen. Ik lig heel de dag in de zetel, hang constant af van hulp van buitenaf en daar heb ik genoeg van. Ik ging altijd 200% voor mijn revalidatie en vanaf nu wil ik een positief vooruitzicht hebben.
Stappen, fietsen, autorijden, zelf boodschappen doen...
Kortom
IK WIL TERUG LEVEN!!! π
anneke

dinsdag 8 juni 2021
In maart '21 kreeg ik mijn 5de prothese bij de Dr. T.C. in Herentals . Een maand later zat mijn knie los en waren de bouten afgebroken. Terug onder het mes en er werd een plaatje gestoken dat nu moervast zit.
Op dinsdag 3 juni moest ik op controle bij de chirurg. Ik was er rotsvast van overtuigd dat het weerom tot een operatie zou leiden doch tot mijn grote verbazing bleken het ingebouwde plaatje en de vijzen nog op hun plaats te zitten.
Ik kreeg wel zwaardere pijnmedicatie en moet nog 6 weken mijn stijve brace gebruiken samen met mijn krukken.
Het was die dag voor mij enorm verwarrend. Zeg nu zelf, ik zou héél blij moeten zijn met dit nieuws!
Gaandeweg kwam ik wel tot het besef dat als ik kan kiezen tussen 2 gezonde benen of een beenprothese, dat ik natuurlijk voor
de eerste optie ga. π Duimen dus! πππ
De pijnstillers doen ondertussen hun werk waardoor ik direct wil beginnen met iets te doen. Mijn actieve persoon in mij wordt wakker geschud. π
Maar eenmaal de pijnstillers uitgewerkt zijn, komt de pijn in alle hevigheid terug. Dus die medicatie is goed voor een paar uur maar uiteindelijk nemen ze de oorzaak niet weg. Het geneest traag volgens de chirurg en ik moet geduld hebben. π€
Ik heb besloten om de komende 6 weken nog even uit te zingen en hopelijk is er dan beterschap.
Aangezien ik al met de procedure voor amputatie gestart was, ga ik er toch mee door. In die zin, ik wil een gesprek hebben met de chirurg die de amputatie zou doe, een gesprek met een psycholoog, een gesprek met de prothesefirma Vigo en iemand die al een amputatie heeft ondergaan.
Als ondertussen mijn been toch aan de beterhand is, dan kan ik de procedure alsnog stopzetten wat natuurlijk de max zou zijn. π€©
anneke

11 juni 2021
Gisterenavond heb ik kennis gemaakt met Kathleen, een vrouw van 46 jaar die ongeveer 12 jaar geleden een beenamputatie heeft ondergaan.
Al bij het binnenkomen was het net of we elkaar al veel langer kende. Een spontane, positieve, zelfzekere, nuchtere en praatgrage dame. π
Als jong meisje werd bij haar botkanker vastgesteld. Je kunt je dus wel voorstellen wat een lijdensweg ze heeft gehad. Chemokuren en meer dan 20 operaties. Uiteindelijk is de beslissing gevallen van een beenamputatie te laten ondergaan waar ze tot op heden geen spijt van heeft.
Ik heb heel wat nuttige informatie gekregen en ze heeft me ook laten zien hoe ze haar mechanische prothese aan en uit doet.
Daar haar prothese vleeskleurig is valt het niet direct op dat ze een kunstbeen heeft.
Ze sprak over haar fantoompijnen die ze redelijk goed onder controle heeft. Voor iemand zoals ik is dit moeilijk te bevatten als ze vertelt dat ze soms pijn heeft aan haar grote teen die ze niet meer heeft.
Het was absoluut geen zwaar gesprek, integendeel, over alles werd luchtig gesproken en dat is voor mij belangrijk.
Het is fijn om te weten, dat als ik met vragen zit, haar steeds mag contacteren.
Bedankt Kathleen! π₯°πππ
Een goede raad: moet je een amputatie ondergaan, zorg dat je iemand hebt die hetzelfde heeft meegemaakt. Praat erover, zeker als je angstig bent voor wat komen gaat. Gelukkig heb ik daar geen last van maar dat is voor iedereen verschillend.
DON'T WORRY BE HAPPY SONG
https://www.youtube.com/watch?v=68vZX2uUKKA
Ook heb ik een gesprek gehad met de firma Vigo die beenprothesen en andere prothesen maakt. Daar hebben ze me heel duidelijk gemaakt wat de voor- en nadelen zijn. Het zijn vooral de nadelen die voor mij belangrijk zijn. Fantoompijnen, niet echt kunnen stappen als vroeger,.... De eerste prothese zou een vaste zijn die ik een maand moet dragen en dan 30 examenpunten afleggen waarin ik in alles moet slagen alvorens ze aan een definitieve prothese beginnen. Het gaat om een amputatie boven de knie dus ik moet zowel mijn knie als voet onder controle krijgen.
anneke
28 juli '21
Twee weken geleden schreef ik een serene en nuchtere brief naar mijn specialist met de vraag om aub mijn been te amputeren. Hij had dus twee weken de tijd om mijn brief rustig door te nemen alvorens ik weer op consultatie moest. We hadden een goed gesprek deze keer. Hij begreep dat het voor mij genoeg was geweest na 5 jaar. Over het algemeen is hij absoluut niet voor amputatie maar hij heeft me doen beloven toch nog één ding te doen en dan zou hij het eventueel overwegen moest dit mislukken. Hij wijt nl de hevige pijnen aan zenuwpijnen. Ik moet dus met de pijnkliniek starten.
Anneke
19 december '21
In de voorbije 5 maanden is er heel wat gebeurd.
We zijn eerst gestart met Cymbalta, een medicijn dat ik 3,5 maand moest nemen. Ze zouden de pijnen verminderen doch heb er niets van gemerkt . Ondertussen kreeg ik op 17 september een lumbale wortelblok. Dus via de rug wordt met een zenuwnaald de zenuw verdoofd. Was wel pijnlijk maar eenmaal voorbij voelde ik niks meer. Na 4 weken geen resultaat. Pijnen in de knie bleven hetzelfde.
Op 19 november hebben ze drie zenuwen verbrand vanuit de knie. Ik heb een hoge pijngrens maar dit wens ik niemand toe. Ik kreeg iedere keer de slappe lach van de pijn en op de duur moesten de dokter en zijn 2 assistenten ook lachen. Tja zo ben ik. Ik heb hem al lachend "marteldokter" genoemd. Gelukkig kon hij er zelf om lachen. Ook dit heeft niet geholpen dus heb ik beslist geen verdere zenuwen meer te laten verbranden.
Ondertussen ben ik gestart met de gesprekken bij de kinesist, ergotherapeut en psycholoog.
Zowel de kinesist als de psycholoog hebben gezegd dat ik heel positief ben ingesteld en goede manieren gebruik om de voortdurende pijn te omzeilen door afleiding te zoeken. Ik zet veel de radio op met ritmische muziek, zing (zo vals als een kat), speel piano, heb me als vrijwilliger opgegeven in de school van mijn achternichtje om didactische spelletjes te maken voor het eerste leerjaar. Iets wat ik heel graag doe.
LEEF SONG
https://www.youtube.com/watch?v=OMXzoqTnY00
Ondertussen gaat mijn knie achteruit. Om te gaan winkelen gebruik ik een rolstoel want ik kan geen 100m ver stappen met krukken of op mijn been blijven staan. Binnen gebruik ik mijn rolstoel als het echt moet.
Zelfs mijn oefeningen die ik moet doen gaan steeds moeilijker en moeilijker omwille van de pijn.
Op aanraden van mijn kinesist ben ik terug naar mijn specialist gegaan. Na onderzoek gaf hij eindelijk toe dat het puur mechanisch is en niets met de zenuwen te maken heeft, wat ik al jaren zelf zeg. Niet dat ik absoluut mijn gelijk wil halen maar ik was wel blij eindelijk gehoord te worden.
Aangezien Dr.T.C. een hele goede chirurg is, wil hij het natuurlijk niet zomaar opgeven, wat ik begrijp. Dus as woensdag krijg ik een botscan en op 6 januari '22 een radiografie en aansluitend weer een consultatie. Hij wilt toch zien of er nog een specialere prothese kan geplaatst worden maar hij ging wel eerlijk zeggen of het zin zou hebben of niet.
Een 5de prothese in nog geen 5 jaar tijd! π Pffff ik zie dit echt niet meer zitten daar mijn hyperlaxiteit ook hier weer parten gaan spelen, daar ben ik rotsvast van overtuigd.
Dus heb ik deze ochtend terug een mail naar hem gestuurd met de vraag mijn amputatie toch in overweging te nemen. Ik heb het volste vertrouwen in hem maar hij wil die verantwoordelijkheid niet nemen omdat ik hevige fantoompijnen kan krijgen. Dus ik heb de verantwoordelijkheid op mij genomen. Ook heb ik hem gevraagd de pijnkliniek op de hoogte te stellen dat ik begeleiding naar mijn amputatie toe wil. Ik ben er me wel terdege van bewust dat deze mensen mij nog veel kunnen leren en dat ik nog een weg heb af te leggen, maar het zou, hoe gek het ook klinkt, mijn mooiste verjaardagscadeau zijn. π€
Op 15 april word ik 67 en ik moet er nog een paar jaar revalidatie bij rekenen en zolang ik actief ben wil ik er voor gaan!
Morgen op 20 december volgen mijn tweede reeks gesprekken. Ik krijg enkele sessies over hoe het zenuwstelsel werkt. Ik vind dit heel interessant naar de amputatie toe daar alles vanuit de hersenen gestuurd wordt. Hopelijk kan ik hen ook duidelijk maken waarvoor ik verder begeleid wil worden. Fingers crossed π€π€π€
anneke
23 december'21
Heel interessante gesprekken gehad met de kinesist van de pijnkliniek. Ik kreeg een sessie over de werking van de zenuwen t.o.v. de pijn.
Het belangrijkste dat ik hier uit onthouden heb zijn de drie cirkels: biologisch, sociaal en psychologisch aspect.

Foto afkomstig uit de PDF:
IK VOEL JOUW PIJN: DE INVLOED VAN
OUDERLIJKE EMPATHIE OP HELPEND
GEDRAG EN GEASSOCIEERDE
PIJNUITKOMSTEN BIJ HET KIND
Een vragenlijststudie geschreven door Iris Audenaert
Promotor: Professor Tine Vervoort
Universiteit Gent
Deze 3 cirkels zijn onlosmakelijk met elkaar verbonden en kunnen de pijn in positieve of negatieve zin beïnvloeden.
Dus bij pijn zoek je zoveel mogelijk afleiding. Voor mij is dat muziek opzetten of zelf piano spelen. Ik ben bezig met Zweedse les, een familiestamboom opmaken, ik maak vrijwillig didactische spelletjes voor een eerste leerjaar, train met halters om mijn armen te versterken,... Dit zorgt er echt voor dat, ondanks de pijn chronische is en soms acuut optreed, je het toch beter van je kunt afzetten. Veel lachen is ook één van de dingen die ik belangrijk vind en dus omring ik me graag met humoristische mensen om me heen. Dit alles zorgt ervoor dat je je psychologisch beter in je vel voelt en alles beter aankunt. Zorg er ook voor dat je je contacten blijft onderhouden. Corona zorgt misschien ervoor dat je elkaar minder ziet maar er is nog altijd de telefoon of GSM. Omring je vooral met positief ingestelde personen. Dat wil niet zeggen dat je zelf eens een luisterend oor voor iemand kunt zijn. We zijn niet de enigen met pijn op deze wereld.
Dus als je die 3 cirkels positief beïnvloed garandeer ik je dat je de pijn beter kunt plaatsen.
En hier eindigen ook mijn sessies en behandelingen in de pijnkliniek.
Op mijn vraag een psycholoog te kunnen spreken die mij wil begeleiden naar de amputatie moesten ze mij het antwoord schuldig blijven.
anneke

29 december'21
Op aanraden van mijn kinesist Raf Willems heb ik contact opgenomen met de voormalige CEO van de össur prothesen en recordhouder marathonlopen op 1 blade, Kim de Roy in IJsland.
Dit was een heel aangenaam gesprek. π€© Ik kreeg 3 soorten amputaties uitgelegd waarvan één mijn voorkeur had nl. de Keep Walking implante. Deze methode passen ze reeds meer dan 7 jaar toe met succes voor de geamputeerde in Spanje.
https://www.youtube.com/watch?v=L4Tsddq0LNg
In dit filmpje kun je zien wat de bedoeling is en hoe het werkt.
Ik weet niet of het in België wordt toegepast en of het terugbetaalbaar is.
Ondertussen heb ik een botscan laten nemen en op 6 januari nog radiografie en dan weet ik mijn uitslag. Het is nl. de laatste weken meer en meer aan het achteruit gaan met mijn been. Ik doe mijn oefeningen niet meer, kan mijn been overstrekken en ik krijg L stilaan een O-been. Ik vraag nu al 2 jaar achter amputatie doch mijn chirurg is daar totaal niet voor.
En nu maar weer afwachten!
anneke
7 januari'22
Wat een dag gisteren! Ik moest er vandaag toch even van bekomen.
Mijn orthopedisch chirurg zat al een hele tijd naar mijn uitslag te staren zonder een woord te zeggen. Uiteindelijk zei ik dan maar:" denk is luidop want ik zie u denken". Hij draaide zijn scherm en zei dat het er niet goed uitzag. Hij had een plan A en een plan B.
Plan A: hij zou proberen een langere pin in mijn scheenbeen kunnen steken met de grote kans dat het bot het begeeft. Plan B: amputatie.
Ik wist niet wat ik hoorde. Blijkbaar is er rond het scheenbeen een woekering van het één of het ander dat daar niet hoort. Ik vroeg of het kalkvorming was en kreeg enkel een nee maar verder geen uitleg. Ik mag er in ieder geval niet te lang mee blijven rondlopen.
Ik zal het binnenkort wel in het verslag lezen.
Plan A zag ik totaal niet zitten dus het wordt plan B. Op mijn vraag de Keep Walking implantaat toe te passen verwees hij me door naar Gent. Hij was wel enthousiast over deze methode maar heeft er zelf geen ervaring mee. Hij gaat zelf een afspraak maken voor mij en ineens mijn dossier doorsturen naar Gent. Ik hoop in de loop van volgende week een telefoontje te krijgen naar wie en naar waar ik precies moet gaan. π
Hij zou me ook in contact brengen met een patiënt die deze implantaat heeft laten zetten en daar heel tevreden over is.
Wel gek hé, nu vraag ik daar 2 jaar om en plots is het niet meer mijn vraag maar een noodzakelijk kwaad. π
anneke
20 Januari '22
Ik heb telefoon gekregen dat op 27/01 ik telefoon krijg uit het UZ Gent van Dr W.V. voor een eerste telefonisch consult. Waarschijnlijk krijg ik dan ook mijn eerste afspraak om het verder verloop van het traject te bespreken.
Gisteren maakte ik kennis met Ben, een rustige, vrolijke man die reeds 33 jaar geleden zijn amputatie had. Een tijdje geleden is hij voor de Keep Walking Advanced gegaan, dus voor het kliksysteem. Binnenkort krijgt hij zijn operatie met het kliksysteem. Ik duim voor hem πππ
Ben gaf me veel info over het trajectverloop. Er gaan enkele consultaties aan vooraf maar ook gesprekken met een psycholoog, psychiater, kinesist en nog anderen. Daar kijk ik nu naar uit. Het is niet omdat ik er al twee jaar van alles over gelezen heb, dat ik er alles van weet. Ook word ik begeleid door een team chirurgen die in samenspraak met de ander specialisten en mezelf. Zo zal ook bepaald worden of ik in aanmerking kom voor mijn methode naar keuze of een andere methode beter is voor mij.
In ieder geval word ik volledig ingelicht over de mogelijke methodes en de gevolgen ervan.
Het was leuk kennis te maken met Ben en bedankt voor je goede info! Toi toi voor 1 februari!
anneke

29 januari '22
Waarom telkens opnieuw tegenslagen? π₯ Ik was gisteren helemaal in de war. π
Ik telde de dagen af naar het telefoontje uit Gent. Gisteren werd ik dan gebeld door de orthopedische arts. Blijkt nu dat de Keep Walking methode helemaal niet toegepast wordt maar wel de Zweedse OPRA methode. Ook voelde ik weer de tegenkanting ivm mijn amputatie. Weerom gaan ze alles nakijken of er toch geen andere mogelijkheid is maar ik wil geen 5de prothese meer. Het draait toch steeds op hetzelfde uit. Mijn ligamenten, pezen, spieren rekken uit en houden de knieprothese niet vast. Nu zou ik volgende week een afspraak krijgen voor een maand later.
Ja, ik heb ook wel eens dagen dat het me niet afgaat maar gelukkig kan dat bij mij ook weer vlug omkeren.
Dank zij Dries van Vigo (de prothesemaker) kreeg ik direct de juiste link naar de Zweedse website:
www.integrum.se
Het gaat hier over osseoïntegratie. Blijkbaar is de Zweedse professor Per-Ingvar Brånemark de uitvinder van dit systeem.
Hij ontdekte door een titaniumimplantaat te gebruiken dat de botcellen zich hiermee vergroeiden. Met andere woorden: titanium wordt niet afgestoten door het lichaam en integreert zich met het omliggend botweefsel. De Latijnse benaming os betekend 'bot' vandaar de benaming osseoïntegratie.
Het heeft natuurlijk vele voordelen: geen koker maar een kliksystheem waardoor je minder last hebt van zweten, wondjes, pijn en druk. Het verbetert het loopcomfort, je kunt gemakkelijker zitten en het is eenvoudig te bevestigen.
Aan de andere kant moet je dan weer heel goed opletten dat je via de opening in de stomp geen infectie oploopt. Ik ga heel graag zwemmen in de vijver van Mechelen omdat het daar rustiger en een mooie groene omgeving is. Kan dat dan nog wel? Of bestaat er iets, dat je ondanks de uitstekende pin, deze opening tijdelijk kunt afsluiten zodat er geen bacteriën inkomen?
Daarbij komt nog dat ik nog 7 à 8 sigaretten per dag rook. Ik ben al flink geminderd maar stoppen is heel moeilijk. Wat moet ik nu kiezen?
Met koker of zonder? Er bestaat ook een klein kansje dat het UZA in Edegem toch een arts heeft die de Keep Walking methode toepast maar daar kan ik pas maandag voor bellen.
Het voordeel hier is dat ik in het begin altijd voor de koker kan kiezen en eventueel later voor osseointegratie, wat niet bij de Zweedse OPRA methode kan.
Wie ervaring heeft met één van deze methoden mag dit altijd laten weten. Alvast bedankt! π
anneke
2 februari 2022
Eergisteren kreeg ik onverwacht telefoon uit Gent dat ik mijn eerste consultatie heb op 8 februari. Ik ben in ieder geval enorm benieuwd naar het Zweedse systeem ORPA.
Nu tel ik toch wel even de dagen af naar dan hoor!
Vandaag had ik kinesitherapie zoals elke woensdag. Raf mijn kinesist is zoals altijd goed gezind en heeft me vandaag weer geweldig aan het lachen gebracht.
Het doet toch goed om af en toe is mensen om je heen te hebben die je doen gieren van het lachen. Zeker met al zijn gekke verhalen.
Hij heeft alvast mijn dag goed gemaakt en mijn humeur kan niet meer stuk.π
Anneke
SMILE SONG
https://www.youtube.com/watch?v=Ir5e8xYFh4Q
3 februari 2022
Soms heb je is een bezinningsdag nodig en dan draai ik heel andere muziek. Dat wil niet zeggen dat ik me slecht in mijn vel voel. Gewoon is een dag rust en is nadenken over de voorbije tijd en wat de toekomst me gaat brengen.
Om tot het besluit te komen dat we in een wonderlijke wereld leven. Een leven waar weleens tegenslagen zijn maar ondanks dat zie je toch steeds de zon weer schijnen.
Een wereld waarin je steun hebt van je familie en goede vrienden en dat is enorm belangrijk.
Samen praten, huilen, lachen en is een fijne knuffel is o zo onmisbaar. Ik ben gezegend dat ik zulke mensen om me heen heb en bij deze wil ik ze allemaal uit het diepst van mijn hart bedanken π
Maar even belangrijk vind ik om er ook voor anderen te zijn al was het maar dat ik een luisterend oor kan zijn, moed kan inspreken.
Geniet van de muziek er zal voor ieder wel wat wils bij zitten.
Beethoven - Silencio
https://www.youtube.com/watch?v=H5eVx5-pC9E
F. Chopin - Nocturne No. 20 in C-sharp minor, Op. posth. (Lento con gran espressione)
https://www.youtube.com/watch?v=bf41Y6q_Qzo
Samuel Barber - Adagio for Strings
https://www.youtube.com/watch?v=izQsgE0L450&list=PL74881ADBE447BE91&index=26
Placido Domingo & Andrea Bocelli - Pearl Fishers duet
https://www.youtube.com/watch?v=i-v-DZjZ9iY&list=PL74881ADBE447BE91&index=27
Claude Debussy : Clair de Lune, for Piano (Suite Bergamasque No. 3
Chopin - Spring Waltz (Mariage d'Amour)
https://www.youtube.com/watch?v=EFJ7kDva7JE&list=RDEFJ7kDva7JE&start_radio=1&rv=EFJ7kDva7JE&t=93
Concierto de Aranjuez - Joaquín Rodrigo II. Adagio / Pablo Sáinz-Villegas
https://www.youtube.com/watch?v=KzEFQW9CXGc
10 februari 2022
Gisteren een vrij emotionele dag gehad. Eergisteren was mijn afspraak in Gent.
Ook daar weer hetzelfde antwoord als altijd. We gaan toch eerst een andere knieprothese steken alvorens te amputeren. Niemand luistert naar wat ik zeg ivm mijn hyperlaxiteit.
De dokter wilde mijn knie even bekijken en trok het kniegewricht uiteen en vervolgens klikte ze het terug. Ik beet op mijn tanden. Toen vroeg ze doodleuk of dat pijn deed. Op die vraag schoot ik weer in de lach en zei dat het heel pijnlijk was.
De amputatie zou dan ook nog eens in drie keer gebeuren. Eerst gewoon amputeren en pas later volgt het eerste deel van de implant en een half jaar later de osseointegratie.
Ze willen een knieprothese met scharnier en rem plaatsen maar pas op de terugweg naar huis dacht ik ineens dat mijn voorlaatste prothese zo één was en ook die mislukte.
Op den duur begin ik echt te denken dat dit geldklopperij is en dat mijn foto's niet goed bekeken zijn want anders hadden ze ook gezien dat ik die prothese al gehad had.
Gelukkig kon ik even bij mijn kinesist mijn frustratie kwijt en wist hij me weer aan het lachen te brengen. Ook hij ziet de zin van een andere knieprothese niet in.
Er rest me nu nog één kans en dat is donderdag 17 februari in het UZ van Wilrijk. Daar is toch een arts heel geïnteresseerd in de Keep Walking methode. Hopelijk kijkt hij mijn dossier op tijd door en begint hij niet over een andere knieprothese want dan denk ik dat ik ga beginnen flippen.
Als hij de amputatie toch wilt doen hoop ik dat dit ineens kan gecombineerd worden met het implant in de stomp, dat is toch één operatie minder. Als ik kan stappen met een koker ben ik al heel blij en hoeft de osseointegratie niet van mij. Slaagt de koker niet dan kan het alsnog na een half jaar.
De vraag is wel wat dit grapje mij gaat kosten. Daar ik toch als eerste proefpersoon fungeer hoop ik dat ze daar rekening mee houden. Van mij mogen ze de operatie zelfs filmen als dat positief kan zijn voor het UZA en op YouTube zetten. Daar heb ik totaal geen problemen mee.
En ondanks de zoveelste tegenslag: kijk altijd naar de zonnige kant van het leven! π€©
always look on the bright side of life lyrics monty python
https://www.youtube.com/watch?v=X_-q9xeOgG4
anneke
19 februari '22
EINDELIJK! er komt schot in de zaak π
In het UZA van Wilrijk een gesprek gehad met de orthopedische arts die eventueel met de keep walking methode wilt werken. Wel moeten ze nog eerst met het hele team samenkomen om dit te bespreken. Als het goedgekeurd wordt ben ik wel de eerste proefpersoon in België.
Wordt het niet goedgekeurd dan is het een gewone amputatie en dan moet ik me daar maar bij neerleggen. Hij schrok dat ik al zoveel prothesen op enkele jaren tijd gehad heb. Hij snapt ook dat ik er niet nog eentje wil uitproberen.
Op mijn vraag of ik op voorhand nog gesprekken moest hebben met een psycholoog vond hij dat niet nodig daar ik mentaal genoeg voorbereid ben.
Ik moet nu ongeveer 2 maanden wachten voor mijn operatie maar daar ben ik gelukkig mee. Het wordt dan toch mijn verjaardagscadeau π
Ik moet nog wel enkele onderzoeken ondergaan voor het zover is.
anneke

6 mei'22
Op 14 maart had ik en tweede afspraak in het uza van Wirijk. Met veel enthousiasme vertrokken doch heel teleurgesteld teruggekeerd naar huis.
Wat betreft de Keep Walking methode: de chirurg wil nog eerst contact opnemen met zijn Spaanse collega's over werking en slaagkansen van deze methode.
Uiteraard heb ik daar niks op tegen, integendeel. Liever goed geïnformeerd zijn alvorens zo'n beslissing te nemen getuigt van zijn goede inzet.
Toen kwam het minder goed nieuws. hij gaat akkoord met de beslissing van de chirurg uit Herentals. Eerst een nieuwe prothese met langere pin in mijn onderbeen. Pas als dit niet blijkt te lukken volgt de amputatie.
Mijn teleurstelling was enorm. Weer een jaar revalidatie voor niets! Wachten tot ze tot het inzicht komen dat het toch weer mislukt is.
Ondertussen ben ik 67j geworden. Je kunt niet geloven hoe ik er tegenop kijk.
Wel werd voor de eerste keer een punctie gepland om na te gaan waarom ik al meer dan 5j een ontsteking in mijn knie heb. Ik heb hiervan nog steeds geen definitieve uitslag van. Het enige dat ik al weet is dat het geen bacteriële infectie is.
In principe staat mijn operatie vast op 16 juni maar ik sta wel eerste op de lijst voor als er iemand wegvalt en ik vroeger aan de beurt ben. Mijn koffer staat al enkele weken ingepakt om te vertrekken.
Door het feit dat ik al op verschillende plaatsen artrose heb, merkte ik de laatste tijd dat ik meer last kreeg van mijn handen en vooral links.
Een paar dagen geleden platen laten nemen. Ik krijg nu een ontstekingsremmer en een duimbrace. Misschien heb ik het ook een beetje in de hand gewerkt door armspieroefeningen te doen met mijn halters.
Ik merkte dat het moeilijker en pijnlijker werd om met mijn krukken te stappen of mijn rolstoel voort te duwen. Met de duimbrace lukt het al helemaal niet meer om dit te doen.
Na bijna 2 maanden heb ik er mij maar bij neergelegd om de 5 knieprothese te laten steken. Ook heb ik besloten om in revalidatie te gaan in Revarte zodat ze me op de voet kunnen volgen en zien hoe ik in de beginperiode enorm snel evolueer ten opzichte van andere patiënten om vervolgens na een maand of 3 te ontdekken dat mijn knie weer los komt te zitten door het spontaan uitrekken van spieren, pezen en ligamenten.
Ik ben echt benieuwd want voor de eerste keer kan ik niet alleen mijn been weer overstrekken maar groeit mijn knie ook naar buiten en heb ik een lichte o-been, ondanks het dragen van mijn brace.
Ik weet het, ik straal nu niet bepaald positiviteit uit, sorry hiervoor. Ik probeer mezelf wel op te krikken maar deze keer vind ik het moeilijk.
anneke

26 juni '22
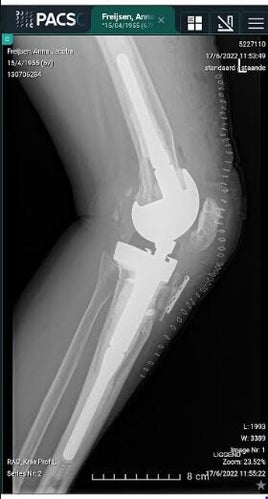
Op 16 juni kreeg ik mijn 5de en laatste knieprothese ingeplant. Het zou de zwaarste hynchprothese zijn. Als deze mislukt gaat de amputatie door.
Uiteraard ben ik nu toch volop voor de revalidatie gegaan ondanks dat de dokter me vertelde dat hij me geen garantie tot slagen kan geven. Het heeft geen zin bij de pakken te blijven zitten dus hup met dat been π

In het UZA had ik de brute pech een kinesist te hebben die iemand verving. Volgens mij heeft hij zijn diploma behaald met spieken. Hij heeft me 2 oefeningen van 20 minuten gegeven. Dat was niet mals als eerste kiné vlak na je operatie. Ik moest ook stappen en moest mijn been helemaal strekken. Of ik nu zei dat ik dat juist niet mocht doen omwille van overstrekking, maakte hem niets uit. Strekken die knie was zijn antwoord. Hij was ook echt heel onprofessioneel door bepaalde mensen uit te lachen. Een meisje van 31 die een zware beenbreuk had opgelopen moest na haar operatie met een gewicht werken. Ze kon dit niet omdat dit heel pijnlijk was. Hij ging gewoon voor haar staan een maakte zo'n geeuwende beweging van, is dat alles wat je kan? Echt professioneel!
Nu zit ik op revalidatie in Revarte en heb een geweldige kinesiste en ergotherapeute. De eerste maar vriendelijke opmerking die ik natuurlijk kreeg was dat ik mijn been niet mocht strekken tijdens het stappen maar lichtjes gebogen moest houden. Ondertussen was ik al gewoon van mijn knie te strekken dus was het wel een ommezwaai die telkens uitliep op een automatische klik naar achter. Dus oefenen maar weer.
De oefeningen zijn intensief doch veel afwisseling.
anneke
29 juni '22
Ik lig al meer dan week samen met Christel op mijn kamer. Het is toch o zo fijn als je goed overeenkomt met je kamergenote! Wij lachen hier toch heel wat af. We helpen elkaar waar nodig en we houden rekening met elkaar want ieder heeft zo zijn gewoontes en hebbedingetjes .π Kortom hier heb ik een vriendin bijgekregen. Ook toen ik in het UZA lag had ik een geweldige kamergenote Ciska en iemand op de gang Charlotje. Dat zijn drie nieuwe vrienden waarmee je samen is goed kunt lachen en wat is er nu goed om te genezen....lachen!
Het personeel van C3 in UZA dat waren toch echt zalige gibbertrienen hoor. Altijd met een smile binnen, klaar voor een grapje en onderling hetzelfde. Dat fleurt de gang toch op hoor!
In Revarte ook fijne verpleegkundigen die af en toe ook is een babbeltje komen slaan terwijl ze het al zo druk hebben.
Als je per ongeluk je masker vergeet op te zetten, wat mij overkwam, riepen ze "ja dat is een boete" op zen minst een doos koekjes, pralines of ander lekkers π€£ Algemene hilariteit natuurlijk. Gisteren moest ik in het UZA zijn en heb dan maar een doos boterkoekjes gekocht. Bij aankomst riep ik "ik kom mijn boete betalen" Eerst even een reactie van: welke boete? En toen hadden ze het door. Zo creëer je toch tijdens zo'n lange revalidatie van weer is even goed te hebben gelachen π
anneke
30 juni '22
Na elke knieprothese begint mijn knie na 2 à 3 maanden tekenen van loosening te vertonen. Wat blijkt nu... mijn knie zit al lichtjes los en blijkbaar slingert mijn been een beetje bij het stappen. Dat begint al héél vroeg nu, precies 14 dagen na mijn operatie. Nochtans doe ik braaf mijn oefeningen.
Vandaag mocht ik bij de ergo oefeningen op de computer doen. Echt wel leuk want ze zijn goed voor het evenwicht en het versterken van je spieren. Op die manier gaat de tijd wel vooruit.
anneke
3 juli "22
Tweede weekend dat ik een nachtje thuis mocht slapen. Twee nachten kreeg ik niet, maar eerlijk gezegd geef ik de arts van de dienst nu wel gelijk. 1 nacht is echt voldoende. Mijn zus legt de was klaar en ik doe de rest wat op zich nu geen probleem is. Zondag kreeg ik bezoek waar ik heel blij mee was, maar te lang is toch wel vermoeiend. Je merkt pas als je thuis bent hoe goed je het hebt in Revarte. Het middageten is dan wel niet je dat maar al de rest is hier ok. Mijn eten heb ik thuis maar uit de vriezer te halen en op te warmen. Alleen loop je makkelijker is op je krukken over en weer en op het einde van de dag voel je pas de vermoeidheid. Dus ik was blij gisterenavond weer in mijn vertrouwde Revarte te zijn. Mijn tweede thuis of Revartekamp zoals een medepatiënt het hier noemt.
Vandaag op de kiné rustige oefeningen gedaan. Op mijn vraag om ook opnieuw mijn armen te trainen heb ik voor het eerst in mijn leven een echt trainingstoestel mogen uitproberen. Daar ik voordien thuis al met halters van 8kg werkte, dus samen 16kg ben ik vandaag gestart met 14kg wat me deugd deed. Ik had nl enkele maanden niets meer gedaan vanwege de opstoot van artrose in mijn duimen dus alles wat ik voordien had opgebouwd was ik al voor het grootste deel weer kwijt. Dus heel blij dat ik dat ook weer stilletjes aan kan opbouwen. Weldra loop ik hier met gespierde biceps en triceps rond π
Dit kon ik toch echt niet latenπ Mijn nieuwe vlam?

15/7/"22
Voor de verandering weer een paar bewogen dagen achter de rug.
Enkele dagen geleden had ik een vervangende ergotherapeut. Ik moest haar uitleggen welke oefeningen ik zoal deed bij mijn vaste therapeut. En zo geschiedde. Op een gegeven ogenblik geeft ze mij een nieuwe oefening waarbij ik mijn knie zijwaarts moet bewegen. Dit ging heel vlot tot ik plots door mijn linker knie zakte. Dit deed even geen deugd dus ging ik zitten. De pijn zakte redelijk vlug weg en ik mocht nog evenwichtsoefeningen doen op mijn goede been.
Zoals ik al is vermeld heb ben ik zo goed als doof aan mijn linker oor door een ongeval op mijn 12jaar. Enkele jaren geleden werd bij de NKO-arts vastgesteld dat ik helemaal geen evenwichtsorgaan heb aan beide oren. Ik loop dus niet graag alleen in het donker want dan lijk ik wel dronken. Volgens de NKO-arts hebben mijn hersenen in de loop van mijn leven dit evenwicht overgenomen wat positief is. Ik kan wel elektrisch fietsen maar moet niet achterom kijken want dan lig ik er.
IK ben dus de laatste tijd wel trots op mezelf dat ik toch redelijk goed slaag bij evenwichtsoefeningenπ
Even terug naar het doorzakken van mijn knie. Direct ijs gelegd na de therapie maar tegen de avond begon de pijn heviger te worden en m'n knie dikker. Daags nadien platen laten nemen en moet vandaag geduldig wachten op de uitslag.
Toen ik dit aan de dokter meldde kreeg ik direct het antwoord" Ja maar die oefening mag je helemaal niet doen". Hoe kan ik dat nu weten??? Communicatie laat toch een beetje te wensen over hoor.
Maar dan gisteren, ik was voor de zoveelste keer weer op de alarmbel gaan zitten of had het gewoon weer uit de muur getrokken. Ik besloot om het leed een beetje te verzachten (uit schaamte)π€ om nog maar is een pak koekjes te gaan halen. Ik neem een binnenweg naar het UZA maar kom een nogal steile en lange stoeprand tegen. Ik draai mijn rolstoel en raak zonder problemen boven. Krakelingen en sprits gekocht in de Delhaize en terug op weg naar Revarte. Toen kwam ik weer aan die stoeprand en vroeg me af hoe die het beste te nemen. Ik rij nu al meer dan een jaar met de rolstoel dus het is niet dat ik de beginselen niet ken. Toch nam ik een foute beslissing en ging achteruit naar beneden. De volgende seconde sloeg mijn rolstoel achterover en raakte mijn hoofd niet zachtaardig de straatstenen. Daar er geen kat in de buurt was ben ik toch een tweetal minuutjes blijven liggen om te bekomen. Het was van mijn perspectief een zonnige lucht met hier en daar een wolkje maar wel warm π Uiteindelijk dan maar uit m'n stoel gekropen, stoel rechtgezet, remmen geblokkeerd en op 1 been rechtgekomen. Rolstoel in en mijn weg vervolgd. Had wel wat hoofdpijn en vandaag een bult. De koekjes hingen achteraan de stoel dus je kunt je wel voorstellen hoe die eruit zagen. De doos sprits in het midden ingedeukt en de krakelingen voor de helft vergruisd. Zonde van ze zo te moeten afgeven aan de verpleging.
Toeval was dat er vandaag een cursus rolstoelrijden werd gegeven. Heb maar meegedaan, kon er toch iets van opsteken. De therapeut is mee komen kijken waar ik ten val ben gekomen. De dal bleek toch 50cm lang te zijn en op de foto kun je de helling zien. Ik heb dan toch even geoefend hoe ik vooruit wel naar beneden kan en het lukte. Ik hoop dat ik geen ezel ben die me twee keer aan dezelfde steen stoot π

voor aan een ziekenhuis zijn dit wel heel gevaarlijke drempels!



29/07/"22
Vorige donderdag had ik een een hele slechte dag met heel veel pijn.
De ochtend daarop was het doktersronde. Ik had er ineens genoeg van en zei dat ik zo geen 8 maanden meer wilde verdergaan. Van mij mag het nu gebeuren. Dr G.C.. antwoordde wel dat dit een drastische beslissing was. Ik vraag er al 2 jaar en had nu op mijn 67 al kunnen rondlopen op mijn kunstbeen zei ik hem. Nu moet ik nog een lange revalidatie tegemoet gaan maar dan wil ik het wel nu en niet als ik 68 ben. Ook krijg ik nu de laagste dosis morfine aangezien de rest niet meer helpt. Eerlijk gezegd heb ik na een knieprotheseoperatie nog nooit zo snel zoveel pijn gehad. Nu hoop ik maar dat die morfine niet verslavend gaat werken want daar zie ik toch wat tegenop. Ondertussen plakt de pleister al 2,5 dag op en voel ik nog geen verschil.
In de namiddag kwam de sociaal assistent G. me vertellen dat ze mijn dossier is helemaal hebben doorgenomen en zo hebben ingezien dat de lijdensweg al lang duurt en ze ook het nut er niet van inzien om mijn revalidatie zo verder te zetten. Ik geloofde echt mijn oren niet. Een arts die me amper kent en toch naar me geluisterd heeft. EINDELIJK WORD IK GEHOORD! Ik kon mijn geluk niet op. π De revalidatiearts wordt zo snel mogelijk op de hoogte gebracht en hopelijk gaat hij mee in het verhaal. Dan is het aftellen naar 1 augustus want dan heb ik mijn afspraak met mijn kniespecialist. Gelukkig gaat mijn zoon Daniel mee die mij heel hard steunt. En dan hopen op een positief advies van de specialist ππππππ
anneke
31/7"22
Zoals elk weekend mag ik naar huis van zaterdag op zondag. Dus nu zit ik hier heel ontspannen te genieten van mijn eigen tuintje. Om half 7 vanavond komt mijn zus mij terug ophalen om weer naar revarte te gaan.
Voorbije donderdag was een heel emotionele dag voor me. De revalidatiearts was terug en ik kreeg gelijk het verdikt dat hij geen advies tot amputatie wil geven. Volgens hem ligt de beslissing bij mijn chirurg wat ik ook wel begrijp maar een positief advies had beter geweest.
Wat ik ook zei, niets hielp om zijn mening bij te draaien. Opeens kon ik mijn tranen niet meer bedwingen, ben mijn bed uitgestapt en naar buiten gereden. Het kon me even niet meer schelen of ik nu beleefd was of niet. Enkel naar dr G.C en de sociaal assistent heb ik getracht een lachje en een een knikje te geven omdat zij mij wel steunden.
In die 6 voorbije jaren heb ik heus wel eens een traan gelaten maar meestal draai ik vlug bij en probeer dan weer positief te zijn. Die dag lukte het me echt niet. Ik bleef maar huilen en voelde me nog beschaamd ook dat ik iedereen maar uit de weg ging zodat ze het maar niet zouden zien.
In de namiddag stond plots dr G.C in mijn kamer en kwam een praatje met me maken. Hij zat achteraan op mijn bed en stelde vragen zoals: wat zijn je doelen nog in je verdere leven. Hij luisterde naar me, sprak met me op een rustige, vriendelijke toon. Ik was ook heel verbaasd dat hij zo spontaan een praatje kwam maken want dit heb ik nog nooit meegemaakt. Ik heb hem wel bedankt omdat hij wel achter mijn beslissing stond.
Bedankt voor het gesprekje, dat heeft me deugd gedaan en ik voelde me achteraf al een stukje beter.
Even later ging ik naar beneden een sigaretje roken, ergens waar ik alleen stond om het gesprek even te laten bezinken. Ik zag iemand aankomen en keek gewoon wat hij deed. HIj stak een pakje onder de klem achterop zijn fiets. Eigenlijk was ik doelloos alles aan het volgen. Plots komt de jongeman naar me toe en vroeg of alles ok was. Normaal zou ik aan een volslagen vreemde gewoon zeggen ja hoor alles is ok. Waarom weet ik niet maar ik zei dat ik slecht nieuws had gekregen.
Hij stelde zich voor als Hans en vroeg mijn naam. Ik heb in het kort gezegd wat er was voorgevallen die dag. Hij luisterde. Hij was heel goedlachs en vertelde dat hij arts was, in Afrika als beginnend arts had gewerkt en zeker met zijn gezin terug wilde gaan. Ook was hij militair en werkt hij nu bij de brandweer. Kortom een echte idealist. Op den duur zaten we echt om vele dingen te lachen en heeft hij mij helemaal terug opgekrikt. Bedankt Hans!
Zo mijn humeur is ondertussen weer gelukkig helemaal omgeslagen in de goede zin. Nu is het afwachten wat morgenochtend het verdikt zal zijn, meer kan ik niet doen.π
Ik heb het hier al dikwijls gezegd, omring je door mensen die lachen, dat is het beste medicijn!
anneke
5/8/"22
Maandag ochtend bij de chirurg voor mijn afspraak. Blijkbaar was hij niet op de hoogte gebracht door de revalidatiearts. Ik kreeg ook geen kans mijn lijstje voor te lezen ivm de problemen die zich nu voordoen. Wanneer ik hem vertelde dat mijn knie soms een knik geeft , was dit volgens hem onmogelijk. Ik heb dit nog is herhaald maar kreeg te horen dat dit niet kon omwille van mijn hinchprothese, dus lieg ik heb ik maar geantwoord. Hij zou ondertussen zelf beide artsen van Revarte contacteren doch ik heb nog niks gehoord.
Gelukkig had ik mijn grootste steun en toeverlaat bij me, Daniel. Ik kreeg een knuffel van hier tot in Tokio en dat deed enorm veel deugd.
Ondertussen weer gestart met de knieoefeningen en vooral het versterken van mijn quadriceps
die eigenlijk al jaren slap zijn. Of die ooit nog goed komen is voor mij een vraagteken.
Mijn brace staat al jaren op extensie 20 om te voorkomen dat mijn knie nog overstrekt. Bij de doktersronde gisteren heeft Dr. D.C. beslist om over te schakelen naar extentie 10 met alle gevolgen vandien. Bij de ergo-oefeningen klikte mijn knie meermaals achteruit en na een tijdje begon dit aardig pijn te doen. Ik laat het nu maar voor de zoveelste keer over me heen komen. Soms kan het me allemaal even niet meer schelen.
Ik kreeg dan doodleuk ook nog de fijne opmerking van " je denkt toch niet dat je kunt stappen na je amputatie'! Dank u dokter erg motiverend π¦
Als het zover is zal ik het tegendeel is bewijzen!
Ik vraag me echt af waar mijn positiviteit gebleven is. Nochtans kan ik hier met een hele groep zalig zitten meelachen en geniet ik daar ook van. Eenmaal alleen ben ik de laatste tijd toch anders.
Het is toch altijd niet even gemakkelijk hoor ook al wil ik het wel

Sinds een tijdje zit hier ook iemand die een beroerte heeft gehad. Met hem praten was in het begin heel moeilijk. De link tussen zijn gedachten en de woorden zijn zo goed als weg. Toch blijf ik met hem praten, dat heeft hij graag en het is tenslotte een goeie oefening. Benamingen van voorwerpen kent hij niet meer maar hopelijk komt het terug. Stappen gaat al goed en zijn arm oefent hij constant. Hij heeft deugt van onze praatjes ook al zijn ze moeilijk maar hij heeft een smile tot achter zijn oren. Dat maakt mij dan ook gelukkig.
anneke
9/8/"22
We zijn weer een paar dagen verder en ik voel me mentaal weer stukken beter. Huilen en bij de pakken blijven zitten lost niks op.
Zondagochtend ben ik in de badkamer gevallen. Ik had nochtans mijn kruk vast en de leuning van de wc. Ik zette een klein stapje achteruit en zakte los door m'n knie de grond op. Even blijven liggen want het plots plooien van mij slechte knie kwam hard aan. Dan maar terug naar bed gelopen den daar wat gerust en terwijl heb ik m'n propere was alvast opgevouwen. Het nuttige aan het onaangename koppelen π
Dan nog beneden geraken. Ik durfde niet te stappen dus op m'n zitvlak naar beneden gegaan. Veel gerust en tv gekeken.
Om me terug tot rust te brengen ben ik maar weer is met ademhalingsoefeningen begonnen en me naar oorden verplaatst waar ik graag ben zoals midden in het bos of de bergen, met de boot op het water of luisteren naar vogelgeluiden is ook heel rustgevend. Je kunt deze gemakkelijk op youtube vinden.
Heb ondertussen braaf mijn vroegere oefeningen gedaan doch het wordt als maar moeilijker door de pijn. Ik kan totaal niet op mijn slechte been staan. Dat kon ik wel na de vorige operaties. Er wordt keihard aan mijn quadriceps gewerkt doch er komt maar geen versterking in ook al doe ik er alles voor. Naast de morfine een extra pil bijgekregen, oxinorm, wat ook op basis van morfine is. Eigenlijk zou ik al die medicatie liever laten, ik zou niet willen dat ik eraan verslaafd geraak
anneke.
10/8/"22
Gisteren een goed gesprek gehad met de neuropsychologe M.B. Ze heeft mij snel kunnen analyseren en zei ook dat ze me niet echt verder kon helpen daar ik achter de amputatie sta en er niets aan mijn inzet ontbreekt. Wel gaf ze een wijze raad mee. Hoe positief ik ook ben naar de toekomst toe, ik er wel rekening mee moet houden dat al mijn wensen met mijn kunstbeen altijd een vraagteken of een onzekerheid zal blijven. Elke amputatie is anders en het verloop ervan ook. Je weet inderdaad nooit wat er verkeerd zou kunnen lopen. Ik hou daar wel rekening mee en weet al heel veel van de negatieve kanten van een amputatie maar mijn instelling is toch van "mij gaat het lukken". Die instelling wil ik zeker niet opgeven maar ik hou wel rekening met eventuele vertragingen omwille van mogelijke tegenslagen. Wel goed om nog is over na te denken.
Van de extra medicatie Oxinorm bovenop mijn morfinepleisters mag ik tot 6 keer per dag bijvragen. Tot nu toe was het maar 1 per dag en ik vraag ze pas na mijn oefeningen omdat ik dan anders mezelf weer overtref. Toch gingen de oefeningen deze ochtend goed. Ze waren iets moeilijker maar ik heb er mijn tijd voor genomen om niet te overdrijven. Dus we gaan maar weer met volle moed door voor enkele maanden en zien dan wel hoe het verloopt. π
anneke
31/9/"22
Weeral 3 weken verder en heel wat gebeurd. Op een gegeven moment kreeg ik te horen: je mag binnen 3 weken naar huis want we kunnen niets meer voor je doen!!! Ik was verbouwereerd. Ik heb Dr. D.C. het telefoonnummer van mijn persoonlijke kinesist, Raf gegeven en gevraagd is met hem te bellen. Tot mijn verbijstering kwam hij een dag later me opzoeken en vertelde dat de procedure naar amputatie toch opgestart wordt. Dit naar aanleiding van het telefonisch gesprek met Raf. Ik zou hem rond zijn nek hebben kunnen springen van blijdschap. Ik zou een gesprek met een psychiater krijgen en wat er daarna volgt weet ik niet. Vorige week donderdag, bij de doktersronde zei hij doodleuk "ik heb helemaal niet gezegd dat de procedure voor amputatie wordt opgestart." Ik was compleet de kluts kwijt en kon niet reageren. Ik voelde me net een marionet. Ik verlies nu wel alle vertrouwen in deze arts. Zelfs de verpleegster die ervan op de hoogte was reageerde verbouwereerd. Ik denk dat ik hem is een jojo cadeau ga doen want zo voel ik me. Vandaag dan het gesprek met de psychiater gehad. Dr. J.S. Een humoristische man met muzikale talenten. Het was aangenaam praten met hem. Alleen is een half uur wel kort en had ik er nog graag een half uurtje bij aangebreid. Het voornaamste is toch gezegd en hopelijk vindt hij mijn ingesteldheid voldoende om een positief advies te schrijven. Uiteraard beslist hij niet over mijn amputatie maar wel hoe ik er tegenover sta. Ik hoop enkel dat ik hem dat voldoende heb kunnen uitleggen. Nu is het wachten naar de volgende stap. Ondertussen blijf ik me inzetten op de kiné en de ergo maar mijn been wordt steeds zwakker hoe hard ik ook oefen.
Ondanks dat ze hier al enkele malen mijn kop hebben ingedrukt laat ik ze toch niet hangen en blijf ik gaan om mijn doel te bereiken. Ik verwacht dat de eindbeslissing, die bij de chirurg ligt, toch nog maanden zal worden uitgesteld.
Mijn 3 maanden zijn bijna om dus ik verwacht dat ik dan naar huis moet. Ik ben nu bezig om een traplift te laten plaatsen maar dan een tweedehandse. Een nieuwe is niet betalen en bij een tweedehandse heb ik ook recht op een premie. Nu nog zien dat ik zelfstandig met mijn rolstoel naar buiten en binnen kan. Dus info opzoeken over een drempelsystheem want mijn dorpel is 36cm hoog.
anneke
28 februari 2023
De dag dat mijn traplift geplaatst werd ben ik naar huis gegaan. Ondertussen heb ik weer enorm veel getraind doch kon na een tijdje niet meer op mijn been steunen met als gevolg, rolstoel. Mijn spieren kwijnen steeds verder weg ondanks alle intensieve training. Wat ik het liefst doe is gaan trainen in het zwembad.
Op 25 oktober terug bij mijn specialist geweest en hij had er een prof bijgehaald. Deze man vond het leuk om mij de grond in te boren. Het zat tussen mijn oren, ik zocht uitvluchten, klaagde over "pijntjes" hier en daar en moest maar is naar de pijnkliniek gaan om daar weer een traject te volgen. Hij sprak soms in het Engels en dat vond ik heel ongepast. Ik was zo verbouwereerd dat ik geen woord meer kon uitbrengen. Als ik mij in een situatie bevind waarbij ik vernederd of aangevallen word, klap ik letterlijk dicht. Gelukkig was mijn zoon erbij. Nadien zei hij dat de prof wel heel cru gereageerd heeft maar dat ik het pijntraject toch maar best zou volgen. Omdat Daniel het vroeg heb ik ingestemd. Wel kreeg ik het gevoel dat hij de prof geloofde en dat heeft hij later voor een deel bevestigd.
Uiteindelijk heb ik eerst weer een dure behandeling gekregen aan de zenuwen van mijn been die niets hebben uitgehaald. Toen volgde de gesprekken met de ergotherapeut, psycholoog en pijnverpleegkundige. Na maanden voorbereiding kreeg ik uiteindelijk te horen dat het geen zin heeft om het pijntraject te volgen. Enerzijds op fysiek vlak bleek ik heel goed bezig te zijn en konden ze mij geen meerwaarde bieden. Anderzijds op psychisch vlak zocht ik genoeg afleiding om de pijn te omzeilen en beperkte ik mijn pijnmedicatie enkel tot voor het slapen gaan. Toen ik dit aan Daniel vertelde geloofde hij me terug. En als er nu iemand is waaraan ik veel waarde hecht wat zijn oordeel betreft, is het mijn zoon wel.
Weerom naar mijn specialist geweest met de vraag of hij nu wel wilt amputeren. Het is een lang gesprek geweest waarbij dr N. heel menselijk naar voor kwam. Hij had het er echt moreel heel moeilijk mee om omwille van pijnindicatie over te gaan op amputatie. Ook al zei ik dat die gebroken botjes onder mijn knie en de de spie, die uit mijn scheenbeen gehaald was om de 5de prothese te steken mij belette om te stappen omwille van hevige pijnen. Die spie is nl gezakt en niet helemaal vastgegroeid. Ik kreeg toen de meest negatieve gevolgen te horen. Ik vermoed om het zo uit mijn hoofd te praten. Ik heb hem ook gezegd dat ik het belangrijk vind alles te weten wat maar eventueel fout kan lopen. Door zijn menselijke reactie is hij toch in mijn achting gestegen ondanks dat hij het niet zag zitten.
Daags daarna belde hij mij op of ik met nog is een andere psychiater wilde praten en uiteraard zei ik ja. Na dit anderhalf uur durende onderhoud achtte de prof psychiater dat er geen contra-indicatie was voor mijn amputatie. Hij vond me goed voorbereid, goed op de hoogte van wat er allemaal mis kan lopen.
Het is een feit dat in het begin van mijn blog ik héél enthousiast was. Toen sprak ik ook letterlijk van rennen, springen, vliegen, duiken en weer opstaan. Ondertussen heb ik wel een stapje terug gedaan. Ik heb zoveel gezien in het revalidatiecentrum en ook veel gesproken met patiënten dat ik nu wel besef dat ik al heel blij mag zijn is een paar dagen in mijn prothese kan lopen maar dat er dagen zullen zijn dat ik aan mijn "rolls royce" gekluisterd zit. Nu heb ik me daar bij neergelegd en denk ik, dan is dat maar zo maar dan kan ik toch af en toe is een wandeling maken, gaan fietsen en is winkelen met een winkelkarretje. Ik weet het, ik ben soms eigenzinnig maar als ik ergens wil voor gaan dan ga ik ervoor.
Iets helemaal anders nu. Ik ben een tijdje geleden weer opnieuw gaan meedoen met mijn percussiegroep. Ik ben enorm blij dat ik die beslissing genomen heb want ik kan daar is 2 uur mijn ziel uit mijn lijf kloppen π Ik zit gewoon in m'n rolstoel en een kussen onder mijn surdo (Braziliaanse trommel). Ondanks dat ik enkele jaren niet meer meegespeeld heb lukt het me goed om te volgen. Ook het sociaal contact is o zo belangrijk en daar leef ik helemaal van op!
anneke
14 maart 2023
Gisteren vernam ik dat mijn vriend en kinesist Raf stopt met zijn praktijk en zijn laatste 12 jaar gaat werken in een revalidatiecentrum in een ziekenhuis. Ik was er eerlijk gezegd niet goed van. 10 jaar lang was hij mijn kinesist maar ook een vriend geworden. Mijn grote steun en toeverlaat die altijd in mij geloofde. We hebben in die periode zoveel afgelachen want humoristisch is hij wel. Stel dat mijn amputatie toch doorgaat dan ben ik een belangrijke persoon kwijt in mijn leven. Ik begrijp en respecteer zijn beslissing en wens hem het allerbeste met zijn nieuwe baan. Het ga je goed Raf! π
23 maart 2023
Ik kan het nog niet geloven maar eergisteren heb ik eindelijk fiat gekregen van mijn specialist.
Heb even een paar dagen nodig gehad om het is goed tot me te laten doordringen. Ik ben hem zo dankbaar en kijk nu hoopvol uit naar de toekomst. De operatie zal op 21 april plaatsvinden, enkele dagen na mijn 68ste verjaardag. Ik weet het dat is niet meer zo jong maar ik weet wat ik aankan en zal ten volle voor mijn revalidatie gaan. Bang ben ik gelukkig niet maar ik vind het wel spannend. Trouwens angst is een slechte raadgever π Ben benieuwd wat mijn reactie gaat zijn bij het zien van mijn geamputeerde been. Zal wel even slikken zijn denk ik nu maar dan begint een nieuw hoofdstuk in mijn leven. Naar dit hoofdstuk kijk ik al lang naar uit en ben daar zo dankbaar voor. Het gedacht alleen dat ik na verloop van tijd weer mijn eerste stapjes ga zetten maakt me gelukkig en van dat moment af kan het alleen maar bergop gaan. Hopelijk zullen er ondertussen niet al teveel tegenslagen mijn pad kruisen. Maar mezelf kenende zal ik wel humoristische mensen opzoeken want veel lachen is de boodschap π
Fingers crossedπ€π€π€
En nu mijn huisje aan kant zetten want ik zal het wel voor een tijdje verlaten
https://www.youtube.com/watch?v=cYD8TEUtgto
Dream It Possible
13 april '23
13 april '23
Ik heb een 8 jarig achternichtje die nog niet helemaal op de hoogte is van mijn komende amputatie. Ik zat er wel mee op mijn maag , hoe haar dit a-te vertellen. Op internet vond ik een Barbypop met kunstbeen. Ze is fan van Barby's. Daarnaast heb ik een leesboekje over een opa die zijn been kwijt is en het schitterende boekje van VIGO. Dit laatste is vooral bedoeld voor kinderen die zelf een amputatie moeten ondergaan. Hier wordt alles op kinderniveau en nog op een leuke manier uitgelegd. Toen ik het haar gaf ging de aandacht direct naar de pop. Als het kunstbeen eraf was zei ze" gaat jouw been er ook zo uitzien?" Eigenlijk verliep alles veel vlotter dan ik had verwacht. Voor mij is het belangrijkste dat ze er geen trauma aan over zou houden. Ondertussen heeft ze al een paar keer het VIGO-boekje bekeken en blijkbaar vindt ze toch wel dat een paar tekeningen griezelig overkomen wat ik ook kan verstaan. Ze weet nu dat ze alles mag vragen wat ze wil. De confrontatie moet nog komen dus we zien wel.
Het boekje van VIGO: Kijk mijn ledematen is ook online te bekijken. Ik stuur de link door met toestemming van Vigo:
Het is heel educatief en kindvriendelijk uitgelegd zelfs met de uitspraak van moeilijke woorden werd rekening gehouden. Kan gemakkelijk in de klas gebruikt worden. https://www.vigogroup.eu/blog/digitale-versie-kijk-mijn-ledematen
enkele foto's:
anneke







23 april'23
Op 21 april was het eindelijk zover. Een nieuwe start in het laatste deel van mijn leven. En dan mag ik nu net 68 geworden zijn, mijn leven is nog niet opgesoupeerd, integendeel. Zoals de titel zegt" ik wil terug leven " en dat gaat zeker gebeuren. 2 dagen na de operatie heb ik al gevraagd de morfine stop te zetten. Al bij al valt de pijn goed mee. Tot nu toe geen fantoompijnen maar ik heb wel het grappige gevoel dat ik mijn been kan wiebelen en voel ook tintelingen die helemaal niet storen. Blijkbaar is dit wel een voorbode van fantoompijn en gaan ze me toch de laagste dosis geven om het te voorkomen. Vandaag ook mijn eerste kiné gehad wat heel vlot ging. Ik hots al wat rond op mijn krukken om mijn evenwicht te leren behouden. I ben blij dat mijn vooruitzicht positief is en hoop nu nog heel wat dingen te verwezenlijken. De wonde ziet er al heel mooi uit maar ik neem het van dag op dag en we zien wel. Nu sparen voor mijn prothese waarmee ik aan het strand kan en kan gaan zwemmen. π₯³ππ¦Ώ
6 juni 2023
Reactie plaatsen
Reacties
Ik heb ook zo'n ervaring met het ziekenhuis in Gent: tijdens mijn eerste consultatie kreeg ik te horen dat ze de gevraagde ingreep zouden dien mits ik een viertal tests zou laten dien. Na zoveel maanden kwam ik op de tweede consultatie en jreeg te horen dat ze de ingreep tich niet gingen doen. Ik kan ze wel wurgen!!!
NY Times News Today coverage of international news, politics, business, technology, science, health, arts, sports and more.
https://www.nytimesnewstoday.com/
nnbbss
Dating is a excursion that encompasses the magic of good samaritan ally, offensive growth, and far-out discoveries. It is a take care of toe which individuals traverse maudlin possibilities, getting to be acquainted with each other on a deeper level. Dating allows people to appropriate experiences, unpleasantness ideas, and create deep connections.
https://erhe.me/tags/facial/
In the duchy of dating, undivided encounters a diverse kind of emotions. There's the exhilaration of get-together someone modish, the presentiment of a beginning escort, and the give someone a kick of discovering common interests and shared values. It is a continually of vulnerability and self-discovery as individuals public themselves up to the feasibility of inclination and companionship.
https://bragx.com/tags/indian-boys-sex/
Effectual communication lies at the heart of dating, facilitating accord and appropriateness between two people. It involves effective listening, ethical symbol, and empathy, creating a space on real dialogue. Thoroughly communication, individuals can explore their compatibility, exchange thoughts and dreams, and raise a bottom of trust.
Canadian news is your source for the latest news, video, opinions and analysis from Canada and around the world.
https://www.canadiannewstoday.com/
Very good knowledge. Thanks a lot.
shitcode bc game https://bcgame.milesnice.com/
Eager to boost your digital security with ease? Our independent services have got you covered! From fortifying your online platform against unwanted visitors to facilitating file sharing, we've got easy solutions for everyone. https://toproll.cf
CUTE LITTLE GIRLS
==> s.yjm.pl/6N2Y <==
==> s.yjm.pl/6N2Y <==
CUTE LITTLE GIRLS
Men dating men savoir faire out of, consistency, and the dream of relationships in their own unmatched way.
https://zeenite.com/tags/milf-anal/
In a world that embraces distinctiveness and inclusivity, same-sex relationships have develop their place. Men who date men sail the joys and challenges of building expressive connections based on authenticity and joint understanding. They celebrate enjoyment from while overcoming societal expectations, stereotypes, and discrimination.
https://analxxx.one/tags/anal-masturbation/
Communication and stirring intimacy pleasure a pivotal role in their relationships, fostering positiveness and deepening their bond. As institute progresses towards fairness, it is significant to acknowledge and regard the love shared between men dating men, embracing their unique experiences and contributions to the tapestry of anthropoid connections.
https://clck.ru/36Evvv